By記事2026-01-04 Siriの声が元気になりました。でも、一番大事なのはそこではありません。 ご存知ですか?iPhoneから話しかけてくれるバーチャルアシスタント、Siriの声が変わりました。新しい音声は、Appleの最新モバイルOS「iOS 11」の一部として本日正式にリリースされます。新しい声のおかげで、声のトーンが高くなり、若々しくなりました。より元気で親しみやすくなりました。そして何... 記事
By記事2026-01-04 もしエイリアンが侵略してきたら、どうやって彼らと話をするのでしょうか? <div class="lazied-youtube-frame" data-video-id="tFMo3UJ4B4g" data-start-time="0" data-iframe-classes="wp-block-embed-youtube wp-block-embed is-typ... 記事
By記事2026-01-04 テクノロジーが言語の未来をどう形作るのか 言語は時とともに自然に変化します。コロンビア大学の言語学者ジョン・マクウォーター氏によると、過去には奴隷制、探検、戦争などによる文化衝突が言語をさらに変化させてきました。今日では、新たな力が働いています。言語は、国境を越え、私たちのコミュニケーション方法、そして誰とコミュニケーションをとるかを再定義... 記事
By記事2026-01-04 絵文字に関する本を書いた人とのQ&A フレッド・ベネンソンは、おそらく著書『 Emoji Dick』で最もよく知られているでしょう。しかし、この本はあなたが想像しているものとは少し違うかもしれません。2011年にKickstarterで生まれたこのプロジェクトは、ハーマン・メルヴィルの古典的名作『白鯨』を、絵文字として知られるカラフルな... 記事
By記事2026-01-03 Facebookでの男性と女性の会話方法の違い うーん、なんてステレオタイプなんだろう。Facebookユーザーの様々な年齢層がステータスアップデートで使う様々な言葉を調査したところ、女性はショッピングや髪の毛について最も多く語り、男性はスポーツ、ビデオゲーム、戦争について投稿していた。これは、ペンシルベニア大学ポジティブ心理学センターの研究者に... 記事
By記事2026-01-03 コンピューター分析でJ・K・ローリングの秘密小説が発見される ロバート・ゲイルブレイスが初めて手がけた推理小説『カッコウの呼び声』が、ついに大きな謎に包まれました。今週末、イギリスのタイムズ紙は、『カッコウの呼び声』の著者が実はハリー・ポッターの作者J・K・ローリングであると報じました。タイムズ紙が直接質問したところ、ローリングは小説の執筆を認めたそうです。ニ... 記事
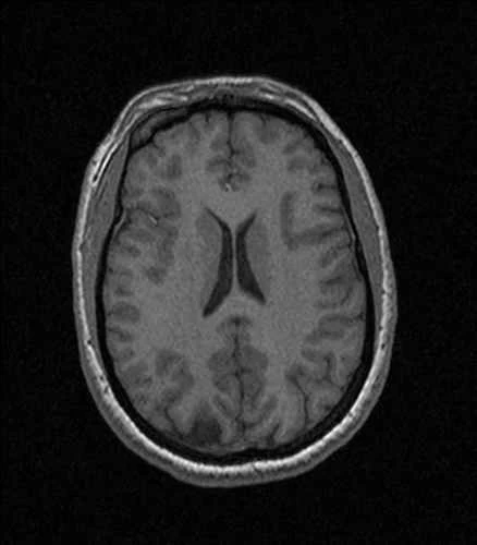
By記事2026-01-03 研究者は脳スキャンを使って思考を言葉に変換する <img width="575" height="536" loading="lazy" src="/upload/20260103/82a99db349a1ac.webp" alt="" class="wp-image-153829" sizes="auto, (max-width: 575... 記事